TAM GIÁC ĐEN Ở RĂNG LÀ GÌ? NGUYÊN NHÂN VÀ CÁCH KHẮC PHỤC
1. Tam giác đen ở răng là gì?
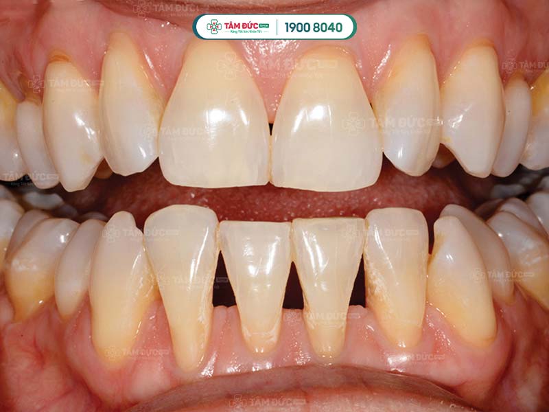
- Tam giác đen ở răng là kẽ hở do hai răng liền kề tạo ra. Nó thường xuất hiện ở khu vực răng cửa và răng nanh của Quý khách.
- Đây là tình trạng răng phổ biến với tỷ lệ 67% ở người trên 20 tuổi và 18% ở người dưới 20.
- Tam giác đen ở răng bị xếp vào hạng 3 trong số những khiếm khuyết về thẩm mỹ nụ cười. Hạng 1 và hạng 2 là sâu răng và thân răng bị ố màu.


2. Nguyên nhân làm xuất hiện tam giác đen ở răng
Có rất nhiều nguyên nhân gây ra tam giác đen ở răng. Quý khách hãy tham khảo một vài thông tin sau để hiểu rõ tam giác đen ở răng từ đâu mà có.
2.1. Kích thước kẽ răng lớn
Tam giác đen ở răng có xuất hiện hay không phụ thuộc nhiều vào khoảng rộng của kẽ răng. Kẽ răng rộng do hai răng quá xa nhau làm kéo căng phần nướu bám ở chân răng. Từ đó, phần nướu không thể lấp đầy được khoảng trống giữa hai răng nên tạo thành tam giác đen.
Nếu khoảng cách giữa hai chân răng lớn hơn 2,4 mm thì nướu ít có khả năng lấp đầy kẽ hở đó.
2.2. Độ tuổi làm xuất hiện tam giác đen ở răng
Tuổi càng cao thì tình trạng lão hóa diễn ra ngày càng rõ rệt. Các mô ở nướu có xu hướng mỏng đi và giảm quá trình sừng hóa. Điều này làm cho chiều cao của lợi bị giảm xuống dẫn đến lộ kẽ răng. Khi kích thước kẽ răng đủ lớn sẽ hình thành “tam giác đen ở răng”.
Các tác động từ mảng bám, viêm nhiễm hay chấn thương tích lũy trong thời gian dài cũng là tác nhân gây ra tam giác đen.
2.3. Bệnh viêm nha chu
Đây là nguyên nhân phổ biến và thường xuyên gây ra tình trạng tam giác đen ở răng. Viêm nha chu là tình trạng viêm nhiễm nghiêm trọng có thể dẫn đến tụt nướu. Cho nên khi mắc phải trường hợp này, Quý khách hãy nhanh chóng đến gặp bác sĩ để được tư vấn và điều trị kịp thời.

Viêm nha chu làm tăng nguy cơ xuất hiện tam giác đen ở răng
>>> Xem thêm: Viêm nha chu là bệnh gì? Cách điều trị hiệu quả
2.4. Niềng răng có thể làm xuất hiện tam giác đen ở răng
Niềng răng sẽ làm cho răng của Quý khách đều và đẹp hơn. Trong quá trình niềng, các răng cần được sắp xếp lại nhờ vào lực kéo của bộ khí cụ niềng răng. Điều này làm kéo căng cả phần nướu và làm tăng chiều rộng giữa những kẽ răng. Bên cạnh đó, việc răng bị xếp chồng chéo, xen kẽ nhau trong quá trình định hình lại răng cũng góp phần làm hình thành tam giác đen ở răng.
2.5. Hình dạng của răng
Hình dạng của răng thường được chia thành 3 dạng: tam giác, hình vuông hoặc hình chữ nhật. Răng có hình tam giác có mật độ xương cao hơn so với răng hình vuông hay chữ nhật. Qua đó, tình trạng tiêu xương ở răng hình tam giác diễn ra ít hơn.
Tuy nhiên, răng hình tam giác làm gia tăng tỉ lệ hình thành tam giác đen ở răng. Nguyên nhân là vì phần cổ của răng có kích thước nhỏ làm khoảng cách giữa 2 răng bị nở rộng hơn.
2.6. Một số nguyên nhân khác
Ngoài các nguyên nhân ở trên, những yếu tố sau đây cũng có thể làm xuất hiện tam giác đen ở răng.
- Thói quen hút thuốc lá
- Răng bị sâu, lung lay
- Vệ sinh răng miệng không đúng cách hay không vệ sinh răng miệng thường xuyên
- Phụ nữ có thai
- Người bị bệnh tiểu đường
- Một số loại thuốc: steroid, thuốc độc tế bào (trị ung thư),...

Không loại bỏ cao răng định kỳ có thể gây tụt lợi và làm xuất hiện tam giác đen ở răng
3. Những ảnh hưởng do tam giác đen ở răng gây ra
3.1. Giảm tự tin
Tam giác đen thường xuất hiện ở răng cửa, làm ảnh hưởng trực tiếp đến thẩm mỹ nụ cười, làm giảm sự tự tin của Quý khách.
3.2. Ảnh hưởng đến vệ sinh răng miệng
Việc hình thành một kẽ hở lớn ở răng tạo điều kiện cho mảng bám thức ăn bám lại và gây khó khăn khi vệ sinh. Thời gian đầu, những tác nhân này sẽ gây ra mùi hôi trong hơi thở.
Về lâu dài có thể xuất hiện thêm sâu răng hay viêm lợi, tụt lợi, mất răng vĩnh viễn.
3.3. Giảm khả năng bảo vệ răng của nướu
Tam giác đen ở răng dễ làm lộ ra phần ngà răng – đây là bộ phận quan trọng giữ vai trò bảo vệ tủy răng. Khi Quý khách bị tam giác đen ở răng, phần ngà răng bị lộ ra ngoài dẫn đến tình trạng ê buốt, khó chịu khi ăn. Đồng thời, răng cũng dễ bị mài mòn và yếu đi.
4. Khắc phục tam giác đen ở răng kịp thời và hiệu quả
Sau đây nha khoa Tâm Đức Smile xin phép giới thiệu cho Quý khách một số biện pháp để khắc phục tình trạng tam giác đen ở răng.
4.1. Trám kẽ răng loại bỏ tam giác đen ở răng nhanh chóng
Đối với những trường hợp tam giác đen ở răng có kích thước nhỏ và gần nướu. Quý khách có thể đề nghị bác sĩ trám kẽ răng để “xoá đi” tam giác đen này.
Đây là phương pháp vừa đơn giản, nhanh chóng, chi phí phải chăng, rất đáng để Quý khách tham khảo.
>>> Xem thêm:
4.2. Dán Veneer - Bọc răng sứ
Veneer hay răng sứ đều được làm từ chất liệu toàn sứ có tính thẩm mỹ cao với màu sắc hài hòa với răng thật. Phương pháp này vừa giúp tăng tính thẩm mỹ của nụ cười, vừa tăng lực nhai khi ăn uống. Nếu kích thước của tam giác đen ở răng quá to và không thể trám bít thì dán Veneer hoặc bọc răng sứ chính là giải pháp tối ưu nhất.

Bọc răng sứ giúp khắc phục vấn đề tam giác đen ở răng
>>> Xem thêm:
Nếu Quý khách phát hiện mình có tam giác đen ở răng, hãy liên hệ với Tâm Đức Smile qua Hotline 19008040 - 0329851079 (Có sử dụng Zalo/Viber) để được các bác sĩ thăm khám và điều trị. Việc khắc phục tam giác đen ở răng còn giúp duy trì sức khỏe răng miệng tổng thể và phòng ngừa sâu răng hiệu quả.


