RĂNG 9630 LÀ GÌ? CÓ ẢNH HƯỞNG GÌ KHÔNG? CÓ CẦN CHỮA TRỊ KHÔNG?

 

1. Giải thích ý nghĩa răng 9630

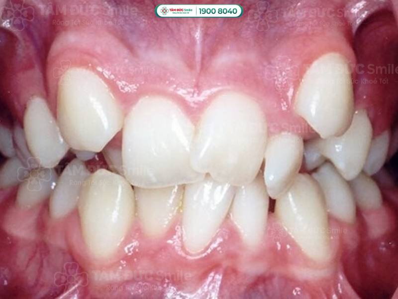
Răng 9630 là cách để chỉ hàm răng mọc lệch, khấp khểnh, không theo thứ tự nhất định trên cung hàm. Hình ảnh so sánh với các số 9, 6, 3, 0 trên đồng hồ được dùng để mô tả sự sắp xếp lộn xộn của những chiếc răng này.

Có nhiều nguyên nhân dẫn đến tình trạng răng 9630, bao gồm:

  • Di truyền: Yếu tố di truyền đóng vai trò quan trọng trong việc hình thành và phát triển răng. Nếu bố mẹ có răng khấp khểnh thì con cái có nguy cơ cao cũng gặp phải tình trạng tương tự.
  • Thiếu hụt chỗ trống trên cung hàm: Khi cung hàm không đủ chỗ cho các răng mọc bình thường, răng sẽ mọc chen chúc, xô lệch nhau.
  • Kích thước răng không cân đối: Một số trường hợp, răng có kích thước quá to hoặc quá nhỏ so với cung hàm cũng dẫn đến tình trạng răng mọc khấp khểnh.
  • Thói quen xấu: Một số thói quen xấu như: Mút tay, ngậm núm vú thời gian dài, đẩy lưỡi khi nuốt,... cũng ảnh hưởng đến sự phát triển của răng, làm răng mọc lệch.

răng 9630 là gì

Răng 9630 là cách để chỉ hàm răng mọc lệch, khấp khểnh, không theo thứ tự

2. Răng 9630 có ảnh hưởng gì không?

Răng 9630 không chỉ ảnh hưởng đến thẩm mỹ mà còn tiềm ẩn nhiều nguy cơ cho sức khỏe răng miệng và chất lượng cuộc sống. Dưới đây là những tác hại cụ thể của 9630.

2.1. Răng 9630 gây khó khăn trong ăn uống

Răng 9630 mọc chen chúc, xô lệch nhau làm cho việc cắn và nhai thức ăn khó khăn hơn so với bình thường. Điều này làm thức ăn không được nghiền nát kỹ, tăng nguy cơ mắc các vấn đề tiêu hóa như: Khó tiêu, đau bụng,... Hơn nữa, răng 9630 còn làm lực nhai phân bố không đều, gây áp lực lên một số vùng nhất định, dẫn đến đau nhức, khó chịu khi nhai. 

Răng mọc chen chúc tạo ra nhiều kẽ hở, thức ăn dễ bị mắc kẹt trong các kẽ răng, gây cảm giác khó chịu, thậm chí là hóc thức ăn. Một số trường hợp răng 9630 có những chiếc răng mọc nhọn, dễ gây xước, rách niêm mạc khoang miệng khi nhai thức ăn cứng, dai,... Điều này sẽ gây ra tình trạng đau nhức, chảy máu, thậm chí là viêm nướu.

2.2. Răng 9630 gây khó khăn trong việc vệ sinh răng miệng

Răng mọc lệch, răng khấp khểnh tạo ra nhiều kẽ răng hẹp có hình dạng và kích thước không đồng đều. Dùng bàn chải và chỉ nha khoa thông thường khó len lỏi vào để làm sạch. Những mảng bám nếu không được loại bỏ sẽ cứng lại thành cao răng dẫn đến viêm nướu, viêm nha chu,... Nếu không điều trị kịp thời, bệnh lý nha chu lan rộng, ảnh hưởng đến cấu trúc nâng đỡ răng, thậm chí làm mất răng.

2.3. Răng 9630 là một khuyết điểm của nụ cười

Răng 9630 mọc lệch, không thẳng hàng, tạo ra những khoảng trống làm cho nụ cười kém duyên và mất cân đối. Điều này không chỉ ảnh hưởng đến diện mạo mà còn làm giảm sự tự tin của bạn khi cười hoặc nói chuyện với người khác. Nụ cười có răng 9630 làm bạn rụt rè, hạn chế thể hiện cảm xúc và ảnh hưởng đến các mối quan hệ.

răng 9630 là gì

Răng 9630 mọc lệch, không thẳng hàng, tạo ra những khoảng trống

2.4. Răng 9630 làm tăng nguy cơ bị sâu răng và viêm tụt nướu

Răng 9630 tạo ra nhiều kẽ răng hẹp, góc cạnh, làm thức ăn dễ bám dính, tạo môi trường thuận lợi cho vi khuẩn phát triển. Do vị trí răng phức tạp nên việc vệ sinh răng miệng không hiệu quả, dẫn đến mảng bám, thức ăn thừa tích tụ lâu ngày và gây sâu răng. Hơn nữa, vi khuẩn từ răng sâu xâm nhập vào nướu, gây viêm nhiễm và dẫn đến tụt nướu. Nướu bị viêm và tụt xuống, để lộ chân răng, làm cho răng nhạy cảm và dễ bị tổn thương hơn. Nếu không điều trị kịp thời, viêm tụt nướu tiến triển thành viêm nha chu và gây mất răng. 

2.5. Răng 9630 làm bạn thiếu tự tin khi giao tiếp

Nụ cười có răng 9630 làm bạn tự ti về ngoại hình, lo lắng về ánh nhìn của người khác, dẫn đến tâm lý thu mình, ngại giao tiếp. Điều này làm giảm sự tự tin của bạn trong các tình huống giao tiếp như: Trò chuyện hàng ngày, thuyết trình, phỏng vấn xin việc,... Hơn nữa, răng 9630 còn làm hơi thở có mùi hôi do khó khăn trong việc vệ sinh răng miệng. Các yếu tố này càng làm tăng thêm sự lo lắng và không thoải mái cho bạn khi giao tiếp. Trong một số trường hợp, tự ti về nụ cười dẫn đến rối loạn tâm lý như: Lo âu, trầm cảm, ảnh hưởng đến tinh thần,...

3. Niềng răng giúp khắc phục răng 9630 hiệu quả

Răng 9630 làm bạn tự ti trong giao tiếp và ảnh hưởng đến sức khỏe răng miệng nghiêm trọng. Nhưng bạn đừng lo lắng, niềng răng sẽ giúp bạn khắc phục hoàn toàn tình trạng răng 9630, lấy lại nụ cười tự tin. Dưới đây là 3 phương pháp niềng răng 9630 phổ biến cùng với những ưu điểm nổi bật

3.1. Niềng răng 9630 bằng mắc cài kim loại

Đầu tiên, bác sĩ sẽ chụp X-quang và kiểm tra sức khỏe răng miệng để tư vấn phương án điều trị phù hợp. Sau đó, bác sĩ sẽ lấy dấu răng để chế tạo khay mẫu và mắc cài từ cấu trúc hàm của bạn. Tiếp theo, mắc cài kim loại sẽ được gắn lên từng chiếc răng theo đúng vị trí đã xác định. Dây cung kim loại sau đó được luồn qua các mắc cài và siết chặt, tạo lực để di chuyển răng. Cuối cùng, khi răng đã di chuyển về vị trí mong muốn, bác sĩ sẽ tháo niềng và đeo hàm duy trì để ổn định kết quả điều trị. 

răng 9630 là gì

Niềng răng 9630 bằng mắc cài kim loại

Ưu điểm của niềng răng 9630 mắc cài kim loại:

  • Hiệu quả cao: Mắc cài kim loại có khả năng điều chỉnh được hầu hết các trường hợp răng mọc lệch từ nhẹ đến nặng. Nhờ lực kéo mạnh, phương pháp này sẽ đưa răng về vị trí mong muốn một cách hiệu quả và chính xác.
  • Chi phí tiết kiệm: So với các phương pháp niềng răng khác, niềng răng mắc cài kim loại có chi phí thấp, phù hợp với điều kiện kinh tế của nhiều người.
  • Độ bền cao: Mắc cài kim loại được làm từ vật liệu kim loại chắc chắn, chịu lực tốt và ít bị bong tróc trong quá trình niềng. Điều này làm giảm chi phí phát sinh và đảm bảo quá trình niềng răng diễn ra liên tục.
  • Điều chỉnh linh hoạt: Hệ thống mắc cài kim loại giúp bác sĩ dễ dàng điều chỉnh lực kéo và hướng di chuyển của răng bằng cách thay đổi dây cung và dây chun. Nhờ đó, răng của bạn sẽ di chuyển đúng hướng và đạt kết quả tốt.

3.2. Niềng răng 9630 bằng mắc cài sứ

Tương tự như quy trình niềng răng bằng kim loại, đầu tiên bạn cần đến nha khoa để khám và nhận tư vấn từ bác sĩ. Sau đó, bác sĩ sẽ lấy dấu răng để chế tạo các mắc cài sứ phù hợp với cấu trúc hàm của bạn. Mắc cài sứ sẽ được gắn trực tiếp lên bề mặt và dùng dây cung kim loại hoặc dây cung màu trắng để tạo lực di chuyển răng. Khi răng đã di chuyển về vị trí mong muốn, bác sĩ sẽ tháo niềng và đeo hàm duy trì để ổn định kết quả điều trị.

răng 9630 là gì

Niềng răng bằng mắc cài sứ

Ưu điểm của niềng răng 9630 bằng mắc cài sứ:

  • Thẩm mỹ cao: Mắc cài sứ có màu sắc tương đồng với răng tự nhiên, gần như vô hình khi gắn lên răng. Điều này giúp bạn tự tin hơn khi cười và nói chuyện.
  • Hiệu quả điều chỉnh tốt: Mắc cài sứ có hiệu quả điều chỉnh răng tương tự như mắc cài kim loại. Lực kéo từ dây cung vẫn đảm bảo răng di chuyển về vị trí đúng, giúp cải thiện tình trạng răng 9630 hiệu quả.
  • Thoải mái hơn: Mắc cài sứ ít gây kích ứng nướu và niêm mạc miệng so với mắc cài kim loại. Điều này làm giảm cảm giác khó chịu, giúp bạn thoải mái hơn trong suốt quá trình chỉnh nha.

3.3. Niềng răng 9630 bằng khay niềng trong suốt Invisalign

Niềng răng bằng khay niềng trong suốt Invisalign là phương pháp chỉnh nha hiện đại và thẩm mỹ. Đầu tiên, bác sĩ sẽ chụp X-quang, quét 3D hàm răng và kiểm tra sức khỏe răng miệng của bạn. Dựa trên kết quả này, bác sĩ sẽ lập kế hoạch điều trị và thiết kế các khay niềng cá nhân hóa cho bạn.

Các khay niềng Invisalign được làm từ chất liệu nhựa trong suốt và có thể tháo lắp dễ dàng. Bạn sẽ đeo mỗi khay niềng trong khoảng 2 tuần, sau đó chuyển sang khay tiếp theo để di chuyển răng theo từng giai đoạn. Khi răng đã di chuyển về vị trí đúng, bạn sẽ đeo hàm duy trì để giữ kết quả điều trị.

răng 9630 là gì

Niềng răng bằng khay niềng trong suốt Invisalign

Ưu điểm niềng răng 9630 bằng khay niềng trong suốt Invisalign:

  • Thẩm mỹ tối ưu: Khay niềng Invisalign được làm từ nhựa trong suốt, gần như vô hình khi đeo, giúp bạn tự tin trong giao tiếp mà không lo lộ niềng răng.
  • Dễ dàng vệ sinh: Khay niềng Invisalign có thể tháo lắp, nên bạn dễ dàng làm sạch chúng và vệ sinh răng miệng hàng ngày. Điều này giúp giảm nguy cơ sâu răng, viêm nướu,... 
  • Không gây kích ứng: Khay niềng Invisalign không có các cạnh sắc như mắc cài kim loại hay sứ, nên ít gây kích ứng nướu và niêm mạc miệng. 
  • Dễ dàng ăn uống và vệ sinh: Bạn có thể tháo khay niềng khi ăn uống và vệ sinh răng miệng. Điều này giúp bạn ăn ngon miệng hơn và đảm bảo răng miệng được làm sạch kỹ hơn.

Hy vọng những thông tin trên đây đã giúp bạn hiểu rõ răng 9630 là gì. Răng 9630 không đơn thuần ảnh hưởng đến thẩm mỹ mà còn tác động tiêu cực đến sức khỏe răng miệng và tổng thể. Tuy nhiên, bạn hoàn toàn có thể khắc phục tình trạng này bằng phương pháp niềng răng. Bạn nên đến nha khoa để được tư vấn và lựa chọn phương pháp niềng răng hiệu quả nhất cho mình.

Quý khách muốn niềng răng cải thiện tình trạng răng lệch lạc, hãy liên hệ với nha khoa Tâm Đức Smile bằng cách:

ĐĂNG KÝ

TƯ VẤN TRỰC TIẾP

HỆ THỐNG NHA KHOA TÂM ĐỨC SMILE
Các chi nhánh