MẤT RĂNG LÂU NĂM CÓ TRỒNG RĂNG IMPLANT ĐƯỢC KHÔNG?

 

1. Những ảnh hưởng khi bị mất răng lâu năm

Mất răng có thể xảy ra do sâu răng, viêm tủy hoặc là dấu hiệu của tuổi tác, răng yếu dần và rụng đi. Mất răng trong thời gian dài tác động tiêu cực đến thẩm mỹ, sức khỏe răng miệng và hệ tiêu hóa.

1.1. Mất răng lâu năm làm tiêu xương hàm

Mất răng là nguyên nhân chính gây tiêu xương hàm. Khi còn răng, lực nhai kích thích xương hàm phát triển. Xương hàm giống như bệ nền vững chắc nâng đỡ toàn bộ hàm răng. Răng mất đi đồng nghĩa với xương hàm mất lực tác động nên dần bị tiêu biến.

 

MẤT RĂNG LÂU NĂM CÓ TRỒNG RĂNG IMPLANT ĐƯỢC KHÔNG

Mất răng là nguyên nhân chính gây tiêu xương hàm

Mật độ xương hàm giảm sau 3 tháng kể từ ngày mất răng và mức độ tăng dần như sau:

  • 12 tháng đầu tiên: Xương hàm tiêu biến khoảng 25%.
  • Khoảng 3 năm: Xương hàm tiêu giảm khoảng 45 - 60%.

Tiêu xương hàm do mất răng lâu năm có 3 dạng chính sau đây:

  • Tiêu xương theo chiều ngang: Độ rộng của xương hàm tại vị trí răng mất hẹp dần đi, vùng xương bên cạnh giãn rộng ra.
  • Tiêu xương theo chiều dọc: Chiều cao xương hàm hạ thấp xuống và trũng sâu so với xương hàm kế cận.
  • Tiêu xương toàn mặt: Trường hợp này xảy ra khi số lượng răng mất ở cả hai hàm trên và hàm dưới lớn.

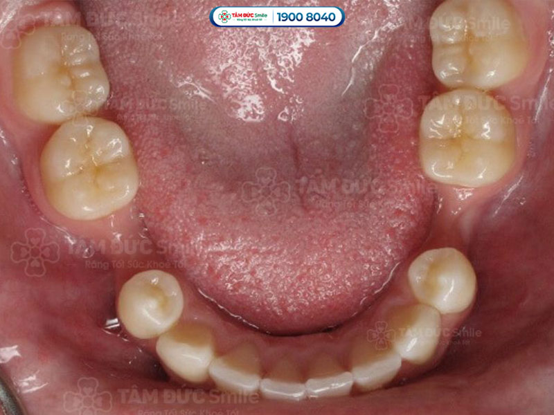
1.2. Mất răng lâu năm làm răng kế cạnh bị xô lệch

Mất răng lâu năm làm cho các răng xung quanh xô dịch do mất điểm tựa vững chắc. Lực nhai không được phân bổ đều mà tập trung vào các răng còn lại. Răng thường có xu hướng nghiêng về khoảng trống để lấp đầy.

Răng khấp khểnh do xô lệch tạo ra kẽ hở giữa hai răng, dẫn tới tình trạng răng thưa. Răng đổ xô dịch kéo dài sẽ làm thay đổi khớp cắn và ảnh hưởng tới khớp thái dương hàm. Vấn đề này có thể làm cho Quý khách cảm thấy đau nhức vùng tai, thái dương và vùng đầu.

MẤT RĂNG LÂU NĂM CÓ TRỒNG RĂNG IMPLANT ĐƯỢC KHÔNG

Mất răng lâu năm làm cho các răng xung quanh xô dịch do mất điểm tựa vững chắc

1.3. Mất răng lâu năm là điểm trừ khi nở nụ cười

Trong cuộc sống, ý nghĩa của nụ cười rất quan trọng. Nụ cười tạo ra sự gắn kết, giúp mở rộng các mối quan hệ bạn bè, người yêu và đồng nghiệp. Dân gian vẫn có câu “một nụ cười bằng mười thang thuốc bổ”. Đối với sức khỏe, nụ cười giúp giải tỏa căng thẳng, điều chỉnh cảm xúc tiêu cực, cải thiện trí nhớ và tăng cường miễn dịch,...

Một nụ cười tự tin thường đi kèm với hàm răng đều, trắng sáng và khỏe mạnh. Mất răng lâu năm, đặc biệt là răng cửa khiến cho Quý khách ngại cười trước đám đông. Khi Quý khách tự ti, rụt rè sẽ ảnh hưởng tới các mối quan hệ và công việc không thuận lợi. Từ đó, chất lượng cuộc sống của Quý khách giảm sút đáng kể.

1.4. Mất răng lâu năm gây khó khăn khi ăn uống và gia tăng các vấn đề về tiêu hoá

Mất răng trong thời gian ngắn hay dài đều làm Quý khách ăn uống khó khăn do răng bị xô lệch và lực nhai yếu. Thức ăn không được nghiền nhỏ tạo áp lực co bóp lớn cho dạ dày và ruột trong quá trình tiêu hóa.

Dạ dày phải tăng cường tiết ra nhiều dịch vị để tiêu hoá thức ăn. Đây là nguyên nhân khiến Quý khách có triệu chứng ợ hơi, ợ chua, đầy bụng hay khó tiêu.

Ăn uống khó khăn nên cơ thể Quý khách không hấp thụ đủ chất dinh dưỡng và cân nặng giảm sút. Nghiêm trọng hơn, bạn có thể mắc các bệnh viêm dạ dày, viêm đại tràng và trào ngược thực quản.

MẤT RĂNG LÂU NĂM CÓ TRỒNG RĂNG IMPLANT ĐƯỢC KHÔNG

Mất răng lâu năm gây khó khăn khi ăn uống và gia tăng các vấn đề về tiêu hoá

1.5. Mất răng lâu năm làm khuôn mặt nhanh lão hoá hơn

Tiêu xương hàm do mất răng làm cho hai má của Quý khách hóp lại nên trông Quý khách giống bị móm. Khuôn mặt của Quý khách mất đi sự trẻ trung và cân đối. Vùng má, cằm da nhăn nheo và chảy xệ, trông bạn luôn già hơn trước tuổi.

Cảm giác tự ti về hàm răng xuất hiện mỗi khi Quý khách cười. Ít cười mỗi ngày cũng là nguyên nhân làm cho gương mặt của Quý khách thiếu sức sống và stress nhiều hơn. Do đó, Quý khách nên trồng răng Implant càng sớm càng tốt để lấy lại gương mặt hài hòa và tự tin.

2. Mất răng lâu năm có trồng răng Implant được không?

Trồng Implant là giải pháp khắc phục mất răng hiệu quả và hiện đại. Tuy nhiên, với trường hợp mất răng đã lâu, xương hàm yếu hoặc bị tiêu biến, Quý khách cần được ghép xương hàm.

MẤT RĂNG LÂU NĂM CÓ TRỒNG RĂNG IMPLANT ĐƯỢC KHÔNG

Trồng Implant là giải pháp khắc phục mất răng hiệu quả và hiện đại

Đầu tiên, bác sĩ sử dụng bột xương nhân tạo hoặc xương tự nhiên của gò má, hàm mặt để ghép xương mới vào hàm. Ghép xương giúp bù lại phần xương đã mất và giữ trụ Implant cố định, chắc chắn. Phần xương ghép không bị lung lay mới đảm bảo cho Quý khách ăn nhai dễ dàng và không bị đau nhức.

Kế tiếp, bác sĩ tiến hành cấy ghép chân răng giả - trụ Implant làm từ Titanium vào xương hàm. Cuối cùng, bác sĩ gắn trực tiếp răng sứ lên trụ Implant qua khớp Abutment tạo thành chiếc răng hoàn chỉnh. Nếu Quý khách chịu khó nhai đều hai bên sau khi trồng răng Implant sẽ giúp gương mặt trở nên đầy đặn và hạn chế bị lệch. Thời gian cấy ghép Implant dao động khoảng 1 - 3 tháng (chưa kể ghép xương hàm).

Ưu điểm của phương pháp trồng răng Implant cho trường hợp mất răng lâu năm là:

  • Tính thẩm mỹ cao: Răng Implant có màu sắc, hình dáng giống như răng thật 99%, giúp cho nụ cười của Quý khách tự nhiên như trước.
  • Chức năng ăn nhai tốt: Implant được gắn cố định, chắc chắn vào xương hàm, giúp Quý khách ăn nhai thoải mái, không gây cộm hay khó chịu.
  • Độ bền vượt trội: Với quy trình thực hiện đúng kỹ thuật và chăm sóc răng miệng tốt, Implant có thể sử dụng lâu dài từ 20 năm đến vĩnh viễn.
  • Không tổn thương răng kế cận: Các phương pháp trồng răng thông thường sử dụng răng kế cạnh để làm cầu răng. Trồng răng Implant can thiệp vào đúng vị trí răng đã mất, không ảnh hưởng tới răng bên cạnh.

3. Nha khoa Tâm Đức Smile - Địa chỉ trồng răng Implant an toàn được đông đảo khách hàng tin chọn

Trồng răng Implant có chi phí cao và yêu cầu bác sĩ có chuyên môn và tay nghề giỏi. Tâm Đức Smile hiện đang là địa chỉ trồng răng Implant uy tín, được đông đảo Quý khách hàng tin tưởng lựa chọn.

3.1. Lắng nghe chia sẻ từ khách hàng của Tâm Đức Smile đã từng bị mất răng lâu năm

3.2. Lý do Quý khách nên chọn nha khoa Tâm Đức Smile để trồng răng Implant

Tâm Đức Smile có nhiều chi nhánh nha khoa tại Việt Nam. Nha khoa cung cấp đa dạng các dịch vụ nha khoa chuyên nghiệp như trồng Implant, niềng răng, bọc răng sứ, nhổ răng,... Đến với Tâm Đức Smile, khách hàng được trải nghiệm dịch vụ chăm sóc răng miệng tận tâm và chu đáo.

Đội ngũ bác sĩ, phụ tá được đào tạo bài bản, có chuyên môn và nhiều năm kinh nghiệm trong lĩnh vực trồng răng Implant. Hệ thống trang thiết bị tại nha khoa Tâm Đức Smile hiện đại, hỗ trợ trồng răng Implant chính xác, giảm thiểu xâm lấn và không gây biến chứng.

Mất răng lâu năm có ảnh hưởng rất lớn đến thẩm mỹ, ăn nhai và làm tăng nguy cơ mắc bệnh tiêu hóa. Do đó, Quý khách hãy đến nha khoa để kiểm tra tình trạng răng và trồng răng mới để đảm bảo chức năng ăn nhai. Tâm Đức Smile luôn sẵn sàng đồng hành cùng bạn trong hành trình tìm lại nụ cười rạng rỡ và tự tin. Quý khách hãy liên hệ với nha khoa Tâm Đức Smile bằng cách gọi đến Hotline 19008040 - 0329851079 (Có sử dụng Zalo/Viber) hoặc điền câu hỏi thắc mắc vào bảng sau đây để được bác sĩ tư vấn miễn phí.

ĐĂNG KÝ

TƯ VẤN TRỰC TIẾP

HỆ THỐNG NHA KHOA TÂM ĐỨC SMILE
Các chi nhánh