KHỚP CẮN ĐỐI ĐẦU: NGUYÊN NHÂN, ẢNH HƯỞNG VÀ CÁCH CHỮA TRỊ

 

1. Khớp cắn đối đầu là gì?

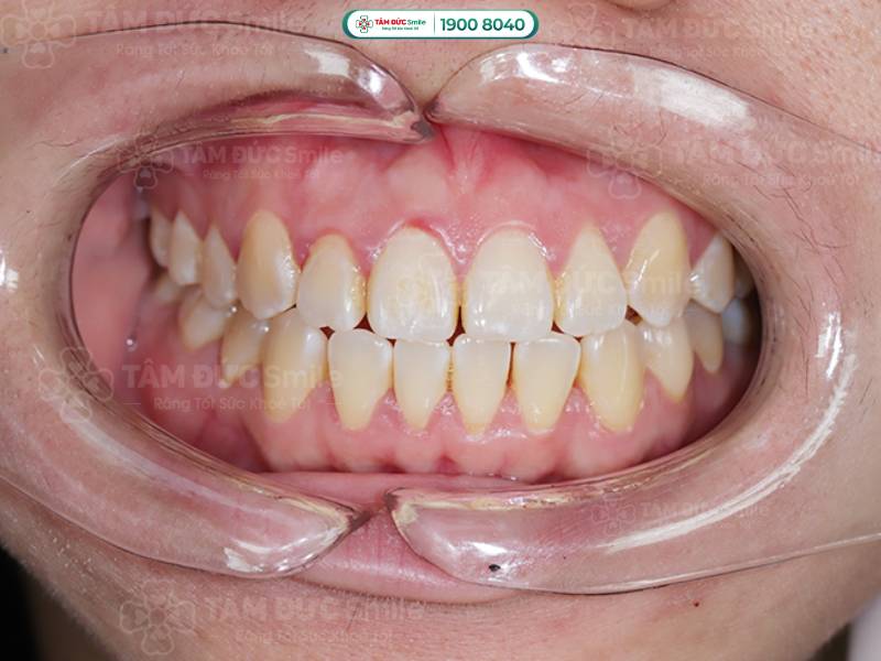
Khớp cắn đối đầu, hay gọi là khớp cắn đối đỉnh, là một dạng sai lệch khớp cắn. Xảy ra khi rìa cắn của các răng cửa hàm trên chạm vào rìa cắn của các răng cửa hàm dưới khi hàm ở trạng thái nghỉ. Khớp cắn đối đầu khi nhìn thẳng vào rất khó phân biệt với khớp cắn chuẩn. Nhưng nếu nhìn nghiêng, bạn sẽ thấy rõ môi trên bị thụt vào trong so với vị trí tự nhiên. Đồng thời, khi cắn chặt hàm, 4 răng cửa sẽ chạm nhau, giữa hai vùng răng hàm có thể có một khoảng hở nhỏ hoặc lớn.

Trong khi đó, khớp cắn chuẩn là rìa cắn của răng cửa hàm trên che phủ 1/3 rìa cắn của răng cửa hàm dưới khi hàm ở trạng thái nghỉ. Đồng thời không có khoảng hở giữa hai vùng răng hàm, môi trên và môi dưới cân đối, tạo nên khuôn mặt hài hòa. 

Khớp cắn đối đầu là gì

Khớp cắn đối đầu, hay gọi là khớp cắn đối đỉnh, là một dạng sai lệch khớp cắn

1.1. Nguyên nhân gây ra khớp cắn đối đầu

Dưới đây là các nguyên nhân chính gây ra khớp cắn đối đầu.

1.1.1. Yếu tố di truyền

Các gen di truyền có thể ảnh hưởng đến kích thước, hình dạng và vị trí của xương hàm, cũng như cách răng mọc và sắp xếp. Nếu bố mẹ có hàm dưới phát triển quá mức hoặc hàm trên kém phát triển, khả năng cao con cái cũng như vậy. Sự di truyền này gây ra khớp cắn đối đầu, làm răng mọc không đều, chen chúc,...

1.1.2. Thói quen xấu khi còn nhỏ

Một số thói quen xấu khi còn nhỏ ảnh hưởng đến sự phát triển của xương hàm, dẫn đến khớp cắn đối đầu. Thói quen mút ngón tay, dùng núm vú giả quá lâu, hay thói quen đẩy lưỡi vào răng trước,... đều làm lệch vị trí mọc của răng. Những hành vi này nếu kéo dài sẽ gây ra hậu quả nghiêm trọng như: Hô, móm, cắn chéo, hở khớp cắn,...

1.1.3. Chấn thương

Các va đập mạnh như: Tai nạn giao thông, chơi bóng đá, quyền anh, bóng rổ,... có nguy cơ cao gây chấn thương hàm và răng. Từ đó làm di chuyển răng hoặc gãy xương hàm, gây ra khớp cắn đối đầu.

Hay những tai nạn nhỏ như: Trượt ngã, va vào vật cứng,... tưởng chừng vô hại nhưng nó cũng ảnh hưởng đến khớp cắn về lâu dài. Ví dụ gây ra đau nhức khớp, mỏi khớp... khó khăn khi cử động hàm, ảnh hưởng đến khả năng ăn nhai và nói chuyện.

Khớp cắn đối đầu là gì

Các va đập mạnh có thể gây ra khớp cắn đối đầu

1.1.4. Mất răng sữa quá sớm hoặc quá muộn

Thời điểm mất răng sữa còn ảnh hưởng đến sự phát triển của răng vĩnh viễn. Khi răng sữa mất sớm, các răng kế cận sẽ di chuyển vào khoảng trống, gây chen chúc và làm răng vĩnh viễn mọc lệch. Ngược lại, nếu răng sữa mất quá trễ, răng vĩnh viễn không đủ chỗ mọc nên mọc sai vị trí, gây khớp cắn đối đầu.

1.1.5. Viêm nha chu, u nang

Viêm nha chu, viêm nướu và viêm quanh răng, làm yếu đi cấu trúc nâng đỡ răng, làm răng di chuyển hoặc lung lay. Điều này dẫn đến sai lệch khớp cắn và làm tăng nguy cơ mất răng nếu không được điều trị kịp thời. Ngoài ra, u nang hoặc khối u trong miệng, gây áp lực lên các răng xung quanh, làm các răng đó di chuyển, dẫn đến sai lệch khớp cắn.

1.2. Ảnh hưởng do khớp cắn đối đầu gây ra

Khớp cắn đối đầu không chỉ ảnh hưởng đến thẩm mỹ mà còn gây ra nhiều vấn đề nghiêm trọng cho răng miệng. Dưới đây là các ảnh hưởng chính mà khớp cắn đối đầu gây ra.

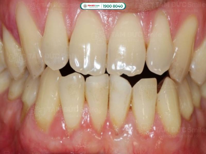
1.2.1. Khó khăn trong ăn uống

Khớp cắn đối đầu làm các răng hàm trên và dưới không khớp nhau nên việc ăn uống cũng khó khăn hơn. Thức ăn không được nghiền nát kỹ sẽ khó nuốt và gây nghẹn, trào ngược dạ dày. Do vị trí tiếp xúc sai lệch nên lực nhai phân bố không đều, tập trung chủ yếu vào các răng cửa. Điều này sẽ làm mòn răng, mỏi cơ hàm và ảnh hưởng đến khớp thái dương hàm.

Khớp cắn đối đầu là gì

Khớp cắn đối đầu làm các răng hàm trên và dưới không khớp nhau

1.2.2. Đau nhức và khó chịu

Khớp cắn đối đầu còn gây áp lực lên các mô mềm xung quanh răng như: Nướu, dây chằng,... gây sưng, đau nhức và khó chịu. Các răng không thẳng hàng nên lực nhai phân bổ không đều, dẫn đến căng thẳng và mệt mỏi cơ hàm. Điều này gây ra đau đầu, đau tai và đau mỏi cơ hàm, ảnh hưởng đến sinh hoạt hằng ngày của bạn.

1.2.3. Bệnh nướu răng

Khớp cắn đối đầu làm răng không khớp nhau, tạo ra nhiều khe hở trong khoang miệng. Vệ sinh răng miệng ở những khu vực này khó khăn hơn, dẫn đến tích tụ mảng bám và vi khuẩn. Nếu không được loại bỏ kịp thời sẽ hình thành cao răng, bám chặt vào bề mặt răng, gây sâu răng và viêm nướu. 

1.2.4. Ảnh hưởng tới phát âm

Khớp cắn đối đầu làm vị trí tiếp xúc giữa các răng thay đổi, nên lưỡi phải điều chỉnh để đặt đúng chỗ khi phát âm. Thay đổi vị trí lưỡi làm ảnh hưởng đến độ chính xác và rõ ràng của các âm thanh, đặc biệt là các phụ âm như “s", "z", "f", "v".  Khi răng không ở vị trí đúng, luồng không khí và cách phát âm sẽ bị ảnh hưởng. Điều này làm bạn bị ngọng hoặc nói không rõ ràng, ảnh hưởng đến sự tự tin và khả năng giao tiếp của bạn.

1.2.5. Tự ti về ngoại hình

Khớp cắn đối đầu gây ảnh hưởng đáng kể đến thẩm mỹ, làm khuôn mặt bạn mất cân đối. Răng cửa hàm trên và hàm dưới chạm nhau, nhưng các răng xung quanh của hàm trên có khoảng cách lớn với răng dưới. Do đó, làm cho hàm răng của bạn khấp khểnh, thiếu hài hòa, làm bạn mất tự tin khi giao tiếp. Bên cạnh đó, môi trên còn bị thụt vào do cấu trúc hàm không chuẩn, làm khuôn mặt bạn móm và già hơn. 

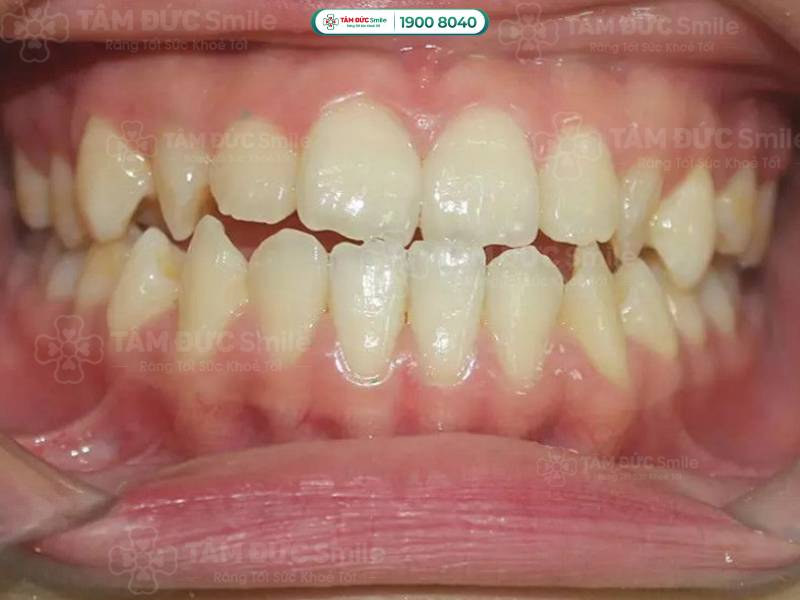
2. Giải pháp chữa khớp cắn đối đầu hiệu quả tại nha khoa Tâm Đức Smile

Khớp cắn đối đầu là vấn đề ảnh hưởng tiêu cực đến sức khỏe răng miệng và thẩm mỹ. Nhưng bạn đừng quá lo lắng, Nha Khoa Tâm Đức Smile cung cấp các giải pháp giúp cải thiện tình trạng này hiệu quả, giúp bạn có nụ cười đẹp.

Khớp cắn đối đầu là gì

Nha Khoa Tâm Đức Smile cung cấp các giải pháp giúp cải thiện tình trạng khớp cắn đối đầu hiệu quả

2.1. Niềng răng mắc cài cải thiện tình trạng khớp cắn đối đầu

Niềng răng mắc cài là phương pháp phổ biến và hiệu quả nhất để điều trị khớp cắn đối đầu. Phương pháp này sử dụng các mắc cài và dây cung để tạo lực di chuyển răng về đúng vị trí, giúp cân bằng khớp cắn. Sau khi hoàn thành lộ trình niềng răng, hàm trên và hàm dưới sẽ khớp lại tự nhiên, giúp cải thiện chức năng nhai và thẩm mỹ cho bạn.

Niềng răng mắc cài được làm từ kim loại, hoặc sứ, tùy thuộc vào nhu cầu và mong muốn của bạn. Nha Khoa Tâm Đức Smile sử dụng các loại mắc cài chất lượng cao, đảm bảo an toàn và hiệu quả trong quá trình điều trị. Đội ngũ bác sĩ giàu kinh nghiệm sẽ tư vấn và theo dõi quá trình niềng răng của bạn để đảm bảo đạt kết quả tốt nhất.

2.2. Niềng răng trong suốt cải thiện tình trạng khớp cắn đối đầu

Niềng răng trong suốt là giải pháp thẩm mỹ cho những ai muốn điều trị khớp cắn đối đầu mà không muốn niềng mắc cài truyền thống. Phương pháp này sử dụng các khay niềng trong suốt để di chuyển răng về vị trí đúng.

Nha Khoa Tâm Đức Smile sử dụng công nghệ tiên tiến để chế tạo các khay niềng phù hợp với cấu trúc răng của từng người. Khay niềng trong suốt gần như vô hình, giúp bạn tự tin giao tiếp mà không lo lộ mắc cài. Khay niềng còn tháo lắp dễ dàng, giúp bạn vệ sinh răng miệng hiệu quả. 

2.3. Đeo khay duy trì

Sau khi hoàn tất quá trình niềng răng, đeo khay duy trì giúp răng không dịch chuyển về vị trí cũ, ngăn ngừa tái phát khớp cắn đối đầu. Nha Khoa Tâm Đức Smile thiết kế các khay duy trì chất lượng cao, được tùy chỉnh theo từng trường hợp cụ thể. Bác sĩ tại Tâm Đức Smile sẽ hướng dẫn bạn cách sử dụng và chăm sóc khay duy trì để có kết quả điều trị tốt nhất.

Khớp cắn đối đầu là gì

Sau khi hoàn tất quá trình niềng răng, đeo khay duy trì giúp răng không dịch chuyển về vị trí cũ

Qua bài viết này bạn có thể thấy, khớp cắn đối đầu ảnh hưởng rất nhiều đến thẩm mỹ, chức năng ăn nhai và sức khỏe răng miệng. Nếu bạn đang gặp tình trạng này, đừng ngần ngại tìm kiếm sự tư vấn từ bác sĩ tại Tâm Đức Smile. Với giải pháp niềng răng tiên tiến và bác sĩ có tay nghề cao, Tâm Đức Smile cam kết mang đến cho bạn nụ cười tự tin và khỏe mạnh.

Nếu gặp phải tình trạng khớp cắn đối đầu, Quý khách hãy liên hệ với Tâm Đức Smile bằng cách:

ĐĂNG KÝ

TƯ VẤN TRỰC TIẾP

HỆ THỐNG NHA KHOA TÂM ĐỨC SMILE
Các chi nhánh