ĐÁNH RĂNG CHẢY MÁU CÓ NGUY HIỂM KHÔNG? NGUYÊN NHÂN BỊ CHẢY MÁU RĂNG
1. Tại sao đánh răng bị chảy máu?
Các nguyên nhân chính gây chảy máu khi đánh răng bao gồm:
-
Viêm lợi: Đây là nguyên nhân phổ biến nhất gây chảy máu khi đánh răng.Vùng nướu bị sưng đỏ, đau và dễ bị chảy máu. Viêm nướu thường do vi khuẩn tích tụ trên răng và nướu, tạo thành mảng bám và cao răng.
-
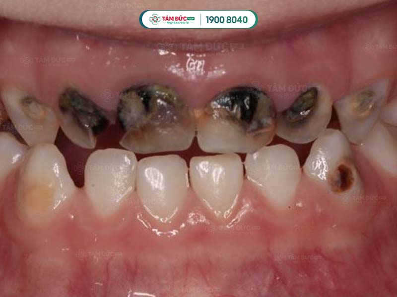
Sâu răng: Khi răng bị sâu, vi khuẩn sẽ xâm nhập vào men răng và ngà răng, gây ra lỗ sâu. Lỗ sâu có thể làm tổn thương nướu và gây chảy máu khi đánh răng.
-
Áp xe răng: Áp xe răng là một ổ nhiễm trùng ở chân răng. Áp xe răng có thể gây sưng, đau và chảy máu ở nướu.
-
Viêm nha chu: Viêm nha chu là một bệnh lý nghiêm trọng của nướu. Viêm nha chu có thể phá hủy nướu và xương hàm, dẫn đến mất răng.
-
Do thiếu chất: Một số vitamin và khoáng chất, chẳng hạn như vitamin C, vitamin K, và canxi, đóng vai trò quan trọng trong việc duy trì sức khỏe nướu.
-
Do ảnh hưởng của thuốc kháng sinh: Một số loại thuốc kháng sinh, chẳng hạn như penicillin, có thể gây chảy máu ở nướu.
-
Do thay đổi nội tiết tố: Thay đổi nội tiết tố, chẳng hạn như trong thời kỳ mang thai, mãn kinh, hoặc sử dụng thuốc tránh thai, có thể làm tăng nguy cơ chảy máu khi đánh răng.
-
Bàn chải đánh răng thô cứng: Bàn chải đánh răng thô cứng có thể làm tổn thương nướu, dẫn đến chảy máu răng.

Chân răng và nướu nhạy cảm dễ bị chảy máu khi đánh răng
2. Đánh răng chảy máu có nguy hiểm không?
Đánh răng chảy máu có thể nguy hiểm hoặc không nguy hiểm, tùy thuộc vào nguyên nhân.
Nếu chảy máu khi đánh răng là do sự cố khi vệ sinh răng miệng thì thường không nguy hiểm. Chẳng hạn như đánh răng quá mạnh hoặc dùng chỉ nha khoa sai cách. Trong trường hợp này, việc thay đổi thói quen vệ sinh răng miệng có thể giúp giảm chảy máu.
Tuy nhiên, nếu chảy máu khi đánh răng là do một vấn đề sức khỏe răng miệng nghiêm trọng hơn thì có thể gây nguy hiểm. Chẳng hạn như viêm nướu hoặc viêm nha chu. Viêm nướu và viêm nha chu là những bệnh lý dẫn đến mất răng vĩnh viễn nếu không được điều trị sớm.
3. Đánh răng bị chảy máu phải làm sao?
3.1. Đánh răng chảy máu do viêm lợi
- Lấy cao răng: Bác sĩ nha khoa lấy cao răng để loại bỏ mảng bám và cao răng tích tụ.
- Chữa viêm lợi tại chỗ: Sử dụng thuốc kháng sinh hoặc thuốc súc miệng để điều trị viêm lợi.
3.2. Sâu răng
-
Trám răng: Nếu lỗ sâu nhỏ, có thể trám răng để lấp đầy lỗ sâu và ngăn vi khuẩn xâm nhập.
-
Bọc răng sứ: Nếu lỗ sâu lớn, có thể bọc răng sứ để bảo vệ răng và ngăn vi khuẩn xâm nhập.
-
Nhổ răng và trồng răng implant: Nếu lỗ sâu quá lớn và răng không thể cứu chữa được, có thể nhổ răng và trồng răng implant để thay thế.

Sâu răng có thể làm mất răng vĩnh viễn
3.3. Áp xe răng gây đánh răng chảy máu
Đầu tiên, bác sĩ sẽ tiến hành loại bỏ mủ và vi khuẩn. Sau đó, bác sĩ sẽ điều trị nguyên nhân gây ra áp xe, chẳng hạn như sâu răng hoặc viêm nướu.
3.4. Viêm nha chu
Viêm nha chu là một bệnh lý nghiêm trọng cần được điều trị càng sớm càng tốt. Điều trị viêm nha chu bao gồm loại bỏ mảng bám và cao răng, phẫu thuật nướu, hoặc ghép nướu.
3.5. Đánh răng chảy máu do thiếu chất
Quý khách cần bổ sung các vitamin và khoáng chất cần thiết cho sức khỏe răng miệng, chẳng hạn như vitamin C, vitamin K, và canxi. Các chất này thường có trong các loại thực phẩm hoặc thực phẩm chức năng.
3.6. Sử dụng thuốc kháng sinh
Nếu chảy máu khi đánh răng là do tác dụng phụ của thuốc kháng sinh, Quý khách nên ngưng sử dụng thuốc này hoặc hỏi lại ý kiến bác sĩ.
3.7. Thay đổi nội tiết tố làm chảy máu răng
Đối với đánh răng chảy máu do thay đổi nội tiết tố, Quý khách cần chờ đến khi cơ thể ổn định trở lại. Trong thời gian này, Quý khách có thể sử dụng các biện pháp chăm sóc răng miệng nhẹ nhàng để hạn chế chảy máu.
3.8. Bàn chải đánh răng thô cứng
Nếu nguyên nhân là do sử dụng bàn chải đánh răng thô cứng, Quý khách cần thay thế bàn chải đánh răng bằng bàn chải đánh răng mềm.

Quý khách nên dùng bàn chải lông mềm và thay mới mỗi 3 tháng/lần
4. Phòng ngừa chảy máu khi đánh răng
Để phòng ngừa chảy máu răng khi vệ sinh răng miệng, Quý khách cần thực hiện các thói quen tốt sau:
-
Tập thể thao: Tập thể thao giúp tăng cường lưu thông máu đến nướu, từ đó giúp sức khỏe của nướu tốt hơn.
-
Uống đủ nước: Uống đủ nước giúp giữ cho miệng ẩm, từ đó giúp ngăn ngừa khô miệng. Khô miệng có thể dẫn đến tích tụ mảng bám và cao răng. Quý khách Có thể uống nước lọc, nước trái cây, sữa, trà không đường,...
-
Bổ sung thực phẩm tốt cho răng: Ăn nhiều thực phẩm giàu canxi, vitamin C, và vitamin D có thể giúp bảo vệ răng khỏi sâu răng và các bệnh răng miệng khác. Một số thực phẩm tốt cho răng bao gồm: Sữa và các sản phẩm từ sữa, trái cây họ cam quýt, rau xanh, các loại hạt.
-
Hạn chế ăn thực phẩm chứa nhiều đường, chẳng hạn như bánh ngọt, kẹo, nước ngọt.
-
Từ bỏ thói quen xấu: Một số thói quen xấu có thể gây hại cho răng miệng, bao gồm: Hút thuốc lá, uống rượu bia quá nhiều, nhai kẹo cao su, cắn móng tay.
-
Kiểm tra răng miệng định kỳ: Kiểm tra răng miệng định kỳ 6 tháng một lần với nha sĩ có thể giúp phát hiện và điều trị sớm các vấn đề răng miệng.
Ngoài ra, Quý khách cần lưu ý một số vấn đề về vệ sinh răng miệng như sau:
-
Nên chải răng ít nhất 2 lần mỗi ngày, mỗi lần ít nhất 2 phút, sử dụng bàn chải lông mềm và kem đánh răng có chứa fluoride.
-
Nên thay bàn chải đánh răng mới sau mỗi 3 - 4 tháng sử dụng.
-
Nên lấy cao răng định kỳ 6 tháng một lần để loại bỏ mảng bám và cao răng tích tụ ở cổ răng.
>>> Xem thêm: Cận cảnh cạo vôi răng tại nha khoa Tâm Đức Smile
Quý khách không nên lơ là dấu hiệu đánh răng chảy máu, vì nó đang “ngầm báo động” sự tổn thương và các vấn đề về sức khỏe răng miệng. Nếu đang bị chảy máu khi đánh răng, Quý khách hãy tham khảo ý kiến của bác sĩ để được tư vấn và điều trị đúng cách. Đồng thời, duy trì một chế độ chăm sóc răng miệng hàng ngày, bao gồm việc đánh răng và sử dụng chỉ răng một cách nhẹ nhàng.
Quý khách có bất kì thắc mắc gì về vấn đề răng miệng hãy chia sẻ với nha khoa Tâm Đức Smile qua Hotline 1900 8040 - 0329 851 079 (Có sử dụng Zalo/Viber) để được giải đáp nhanh nhất. Hoặc Quý khách để lại thông tin vào bảng bên dưới để đặt lịch thăm khám và tư vấn miễn phí tại nha khoa.


