RĂNG KHỎE MÀU GÌ? CÁC VẤN ĐỀ XẢY RA Ở RĂNG VÀ DẤU HIỆU NHẬN BIẾT

 

1. Răng khỏe màu gì?

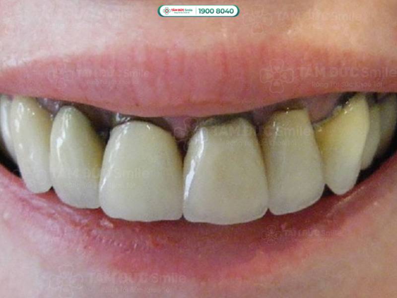
Hàm răng trắng tinh không phải là hàm răng khỏe mạnh như mọi người vẫn nghĩ. Vậy răng khỏe màu gì? Thực chất, răng khỏe mạnh có màu trắng ngà hơi ngả vàng, không phải màu trắng tinh như ngọc trai. Màu răng của mỗi người còn quyết định bởi độ dày của men răng. Nhưng nhìn chung, răng khỏe đều màu, màu vàng nhạt, không xuất hiện các vết ố vàng hay đổi màu bất thường.

1.1. Hình thái của răng khỏe

Ngoài màu sắc, hàm răng khỏe mạnh còn có hình dáng hài hòa, nướu hồng hào, vị trí và khớp cắn chuẩn. 

  • Hình dáng: Răng không bị gãy, không bị nứt hoặc xuất hiện các lỗ sâu trên răng. 
  • Vị trí: Hàm răng không bị khuyết vị trí nào, không bị xô lệch do mất răng.
  • Khớp cắn: Răng khỏe có khớp cắn đúng, tức là hàm trên và hàm dưới khít nhau khi nhai mà không bị lệch lạc.
  • Nướu: Hồng hào, không bị thâm tím bất thường, không sưng tấy và phải ôm sát chân răng.
  • Sâu răng: Răng khỏe có ít hoặc không có vôi răng, trên bề mặt không có lỗ đen do sâu răng.

Răng khỏe màu gì

Răng khỏe mạnh có màu trắng ngà hơi ngả vàng

1.2. Dấu hiệu răng đang gặp vấn đề

Khi bị các bệnh về răng miệng, bạn có thể thấy triệu chứng rõ bằng mắt thường hoặc có thể cảm nhận được. Ví dụ như: Màu sắc răng thay đổi bất thường, hình thái răng thay đổi hoặc các cơn đau bất chợt,...

1.2.1. Màu sắc răng thay đổi

Sau khi tìm hiểu răng khỏe màu gì, các màu sắc còn lại hầu hết đều cảnh báo các vấn đề về sức khỏe. Màu sắc của răng thay đổi bất thường (ngả sang màu vàng nâu, xám, đen) là biểu hiện khi bạn bị bệnh nha khoa. 

  • Răng ố vàng: Nguyên nhân do lớp cao răng tích tụ quá dày trên bề mặt hoặc bạn hút thuốc quá nhiều.
  • Răng bị đen: Có thể bạn đang bị sâu răng, các bệnh lý về tim mạch, nội tiết hoặc có nguy cơ mắc ung thư. Ngoài ra, khi lỗ sâu răng lan rộng, bề mặt răng của bạn cũng xuất hiện các chấm đen.
  • Răng có đốm trắng lo ti: Cơ thể bạn đang thừa fluor, làm bề mặt răng bị phá hủy do men răng tổn thương.

Răng khỏe màu gì

Răng khỏe màu gì

Răng khỏe màu gì

Màu sắc của răng thay đổi bất thường là biểu hiện khi bạn bị bệnh nha khoa

Ngoài ra, một số bệnh lý làm phần nướu sưng lên, chuyển thành màu đỏ, đôi khi tụt xuống chân răng.

1.2.2. Cảm giác đau hoặc ê buốt

Khi mắc các bệnh răng miệng, bạn thường xuyên cảm thấy đau nhức hoặc ê buốt, đặc biệt khi ăn đồ lạnh. Trường hợp bệnh chuyển nặng, phần hàm sưng lên, gây đau nhức dữ dội, không thể ăn uống bình thường. 

1.2.3. Hơi thở có mùi hôi khi răng gặp vấn đề

Khi thức ăn bám lại trên răng, vi khuẩn sẽ sinh sôi và phát triển, tạo ra các hợp chất có mùi hôi. Nếu không vệ sinh sạch sẽ, vi khuẩn gây viêm nhiễm hoặc sâu răng và hình thành mùi hôi miệng kéo dài.

1.2.4. Hình thái răng thay đổi

Nếu răng bị lệch, lung lay, gãy, mẻ hoặc dịch chuyển khỏi vị trí ban đầu, bạn có thể đang gặp vấn đề về răng miệng. Vì khi mắc bệnh, cấu trúc nướu, chân răng, tủy răng bị ảnh hưởng và không thể bảo vệ thân răng.

2. Cách giữ răng luôn trắng khỏe

Bạn nên phòng tránh sớm các nguyên nhân làm răng đổi màu và một số bệnh răng miệng để tránh ảnh hưởng đến thẩm mỹ nụ cười. Cách tốt nhất là bạn hãy vệ sinh răng miệng đúng cách và tránh các tác nhân gây hại cho răng. Chi tiết về cách giữ răng luôn trắng khỏe được nêu rõ ngay sau đây.

2.1. Đánh răng tối thiểu 2 lần mỗi ngày

Vi khuẩn trong miệng chuyển hóa đường thành axit, ăn mòn men răng và gây sâu răng. Không chỉ gây sâu răng, vi khuẩn còn là nguyên nhân làm răng bị viêm nhiễm và ảnh hưởng lớn tới sức khỏe răng miệng. Theo Hiệp hội Nha Khoa Hoa Kỳ (ADA), bạn nên đánh răng 2 lần mỗi ngày, vào buổi sáng và buổi tối.

Răng khỏe màu gì

Bạn nên đánh răng 2 lần mỗi ngày, vào buổi sáng và buổi tối

2.2. Dùng chỉ nha khoa và máy tăm nước

Bác sĩ khuyến nghị, bạn nên dùng chỉ nha khoa và máy tăm nước để làm sạch kẽ răng, nơi bàn chải không tiếp cận được. Chỉ nha khoa giúp loại bỏ mảng bám và thức ăn bị kẹt giữa các kẽ răng. Máy tăm nước phù hợp cho các đối tượng có răng nhạy cảm, sử dụng mắc cài chỉnh nha hoặc gặp khó khăn khi dùng chỉ nha khoa.

2.3. Bổ sung các loại thực phẩm tốt cho răng và nướu

Ngoài vệ sinh răng miệng đúng cách, bạn nên kết hợp với chế độ ăn uống lành mạnh, tốt cho răng miệng. Theo chuyên gia, các nhóm thực phẩm dưới đây tốt cho cả răng và nướu bạn có thể thêm vào thực đơn hàng ngày:

Thực phẩm giàu canxi: Canxi là khoáng chất cần thiết giúp tăng cường men răng và giữ cho răng chắc khỏe. Các loại thực phẩm chứa nhiều canxi là sữa, các sản phẩm từ sữa (phô mai, sữa chua,...) và cải xanh, rau chân vịt,...

Thực phẩm giàu magie: Magie có khả năng tăng cường hấp thu các chất dinh dưỡng và hoạt hóa canxi. Các loại thực phẩm giàu magie là rau củ quả màu xanh, chuối, bơ, các loại đậu, hạt điều,...

Thực phẩm giàu vitamin D: Vitamin D giúp cơ thể hấp thụ canxi hiệu quả hơn, hỗ trợ duy trì sức khỏe răng và nướu. Vitamin D có nhiều trong dầu cá, lòng đỏ trứng, sữa,... hoặc tự động hấp thụ khi bạn phơi nắng vào sáng sớm (6 đến 9 giờ).

Thực phẩm giàu vitamin C: Vitamin C giúp tăng cường mô liên kết và bảo vệ nướu khỏi vi khuẩn gây bệnh, củng cố hệ miễn dịch. Bạn có thể bổ sung nguồn vitamin C phong phú từ cam, chanh, dâu tây, ớt chuông, rau cải xanh,...

Các loại rau củ quả giòn: Ngoài chất xơ, các loại rau củ quả có tính giòn có tác dụng massage nướu. Khác với thực phẩm cứng, các loại củ quả giòn kích thích tiết nước bọt và làm sạch khoang miệng. Ví dụ như dưa chuột, táo, củ đậu,...

Răng khỏe màu gì

Các thực phẩm tốt cho răng và nướu nên thêm vào thực đơn hàng ngày

2.4. Không dùng răng để cắn đồ vật

Một thói quen xấu nhiều người gặp phải chính là dùng răng cắn các đồ vật cứng rắn. Nhưng răng không được thiết kế để chịu áp lực mạnh, có thể bị mẻ, nứt hoặc gãy nếu bạn dùng răng quá mạnh. Ngoài ra, các vật sắc hoặc cứng có thể gây tổn thương nướu, làm nướu bị rách hoặc nhiễm trùng. Trường hợp nguy hiểm nhất, cắn quá mạnh còn gây áp lực lên khớp thái dương hàm và lệch khớp cắn. Do đó, bạn nên bỏ thói quen cắn đồ vật từ bây giờ.

2.5. Hạn chế ăn bánh kẹo ngọt và đồ dẻo dính

Bánh kẹo ngọt chứa hàm lượng đường cao, là môi trường thuận lợi để vi khuẩn trong miệng phát triển. Vi khuẩn sẽ lên men đường và sản xuất axit, làm mòn men răng và gây sâu răng. Ngoài ra, các loại bánh kẹo dính hoặc quá dẻo có thể dính vào răng và khó loại bỏ, tạo điều kiện thuận lợi cho vi khuẩn phát triển.

2.6. Hạn chế uống nước ngọt có ga và dùng thực phẩm chua

Nước có ga và thực phẩm chua đều chứa nhiều axit làm mòn men răng. Khi men răng bị mòn, răng trở nên nhạy cảm và dễ bị tổn thương bởi nhiệt độ và vi khuẩn. Ngoài ra, trong nước có ga cũng chứa rất nhiều đường, tăng nguy cơ sâu răng khi sử dụng thường xuyên. Do đó, bạn không nên uống nước ngọt, nước có ga, thực phẩm quá chua,... mà có thể thay bằng hoa quả tốt cho sức khỏe.

2.7. Cạo vôi răng định kỳ để bảo vệ men răng

Vôi răng là mảng bám cứng được hình thành từ thức ăn, khoáng chất,... trong nước bọt. Nếu vôi răng không được loại bỏ, nó trở thành môi trường sinh ra vi khuẩn, dẫn đến viêm nha chu và còn làm hơi thở có mùi. Bác sĩ khuyến nghị bạn nên đến nha khoa định kỳ 6 tháng 1 lần để cạo vôi răng và thăm khám sức khỏe răng miệng.

Răng khỏe màu gì

 Bác sĩ khuyến nghị nên đến nha khoa định kỳ 6 tháng 1 lần để cạo vôi răng

2.8. Trám răng ngay khi phát hiện răng có các lỗ sâu màu đen

Khi phát hiện lỗ sâu răng màu đen, vi khuẩn đã bắt đầu tấn công men răng và ăn mòn cấu trúc răng. Vậy nên, bạn phải đến nha khoa để trám răng, ngăn ngừa sâu răng tiến vào lớp ngà răng và tủy răng. Bác sĩ sẽ loại bỏ phần răng bị sâu và sử dụng vật liệu trám răng chuyên dụng để lấp đầy lỗ sâu.

Qua bài viết trên, bạn đã tìm hiểu răng khỏe màu gì và các cách giúp hàm răng luôn trắng đẹp. Bạn nên đến nha khoa thăm khám định kỳ ít nhất là 6 tháng 1 lần để bảo vệ sức khỏe răng miệng và thẩm mỹ hàm răng.

Khi gặp vấn đề về sức khoẻ răng miệng, bạn đừng ngần ngại liên hệ với bác sĩ tại nha khoa Tâm Đức Smile để nhận được tư vấn miễn phí bằng cách:

ĐĂNG KÝ

TƯ VẤN TRỰC TIẾP

HỆ THỐNG NHA KHOA TÂM ĐỨC SMILE
Các chi nhánh